
IQ Dental and Implant Centre
You Smile, We Smile...

About Us
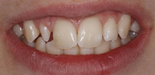
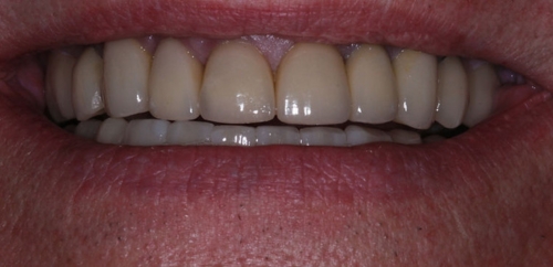
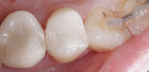
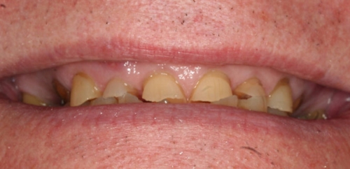
IQ Dental and Implant Centre is an evidence-based private dental clinic located in Kings Hill near West Malling. We pride ourselves in our endeavor to provide the best possible treatment and service available and our team is always happy and willing to go the extra mile. We offer a full range of dental and cosmetic treatments.
โ
We aim to look after you and treat you as if you were a member of our own family. Our mission is to place our patients at the center of what we do and to provide five star treatment in a five star environment throughout the patient journey.
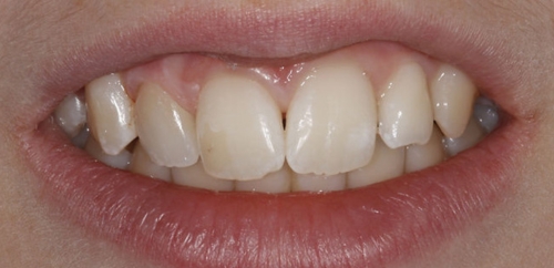
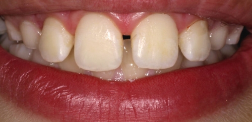
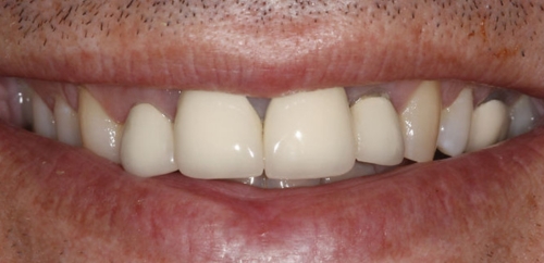
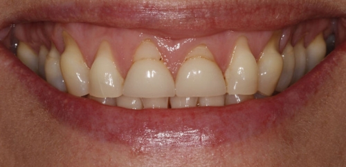
We offer all types o dental treatment from routine check ups, direct access hygiene appointments to Invisalign, children orthodontics and dental Implants both single tooth replacement and full mouth All on four solutions.
โ
โ






.jpg)




